Cirugía oral
Soluciones quirúrgicas para tu salud bucal
Es la especialidad de la odontología que se encarga del diagnóstico y tratamiento quirúrgico de las enfermedades, las anomalías y de las lesiones de los dientes, de la boca, de los maxilares y de los tejidos adyacentes.
Cirugía dental precisa en Barcelona con tecnología 3D
La cirugía bucal es una especialidad clave dentro de la odontología, dedicada al diagnóstico y tratamiento quirúrgico de enfermedades, anomalías y lesiones que afectan a los dientes, encías, maxilares y tejidos orales.
En nuestra clínica, contamos con un equipo especializado en cirugía oral, altamente formado y con amplia experiencia en intervenciones tanto simples como complejas, garantizando una experiencia más tranquila y confortable para el paciente en todo momento.
Dra. Mireia Espinosa, Licenciada en Odontología por la Universidad de Barcelona y Máster en Cirugía Bucal.
En la Clínica Dental Mireia Espinosa realizamos una amplia variedad de intervenciones de cirugía bucal, adaptadas a las necesidades de cada paciente.
Nuestro equipo está formado para abordar tanto intervenciones sencillas como tratamientos quirúrgicos en pacientes con condiciones médicas especiales, siempre con las máximas garantías de seguridad, precisión y cuidado
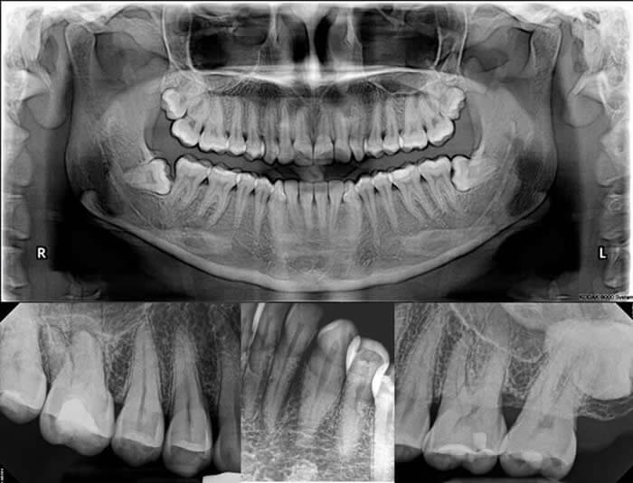
Intervenciones frecuentes en la cirugía bucal
Extracción de muelas del juicio
Una de las intervenciones más comunes en cirugía bucal es la extracción de las muelas del juicio.
Se recomienda cuando:
- No hay espacio suficiente para su erupción.
- La dirección de salida es incorrecta y puede dañar la muela anterior.
- Causan malposición en el resto de dientes.
Caninos incluidos
En algunos casos, los caninos (colmillos) no erupcionan correctamente y quedan incluidos en el hueso.
Puede ser necesario:
- Extraerlos, si presentan quistes asociados.
- Exponerlos en boca y traccionarlos mediante ortodoncia para guiarlos a su posición correcta.
Pacientes con condiciones médicas especiales
En la Clínica Dental Mireia Espinosa adaptamos cada tratamiento a la situación de salud del paciente.
Prestamos especial atención en casos como:
- Pacientes con tratamiento anticoagulante.
- Personas que han recibido quimioterapia o radioterapia recientemente.
- Pacientes que han tomado o toman bifosfonatos.
Cirugía de frenillos (frenectomía)
- Niños, cuando afecta al habla o a la posición de los dientes.
- Adultos, si genera retracción de las encías o dificulta el tratamiento ortodóntico.
Biopsia y tratamiento de lesiones
También realizamos:
- Eliminación de quistes y tumores de origen dental.
- Cirugía de tejidos blandos, como la exéresis y biopsia de lesiones precancerosas o cancerosas.
Todas las muestras se envían a un centro especializado para su análisis histológico.
TESTIMONIOS REALES
Únete a miles de pacientes encantados
Publicado en Norma Miryam Feliu Ruiz03/06/2025Trustindex verifica que la fuente original de la reseña sea Google. Trato y profesionales inmejorables!Publicado en Maria Molle03/06/2025Trustindex verifica que la fuente original de la reseña sea Google. La meva clínica de confiança, no la canvio per cap altere!!!Publicado en Aleix Masip03/06/2025Trustindex verifica que la fuente original de la reseña sea Google. Molt amables!Publicado en Judit Garcia Santana03/06/2025Trustindex verifica que la fuente original de la reseña sea Google. super contenta con el trato recibido, super amables y muy profesionales!!!Publicado en Ari BTK03/06/2025Trustindex verifica que la fuente original de la reseña sea Google. En aquesta clínica em sento cuidada. Es nota que els importa la teva salut de debò, t'escolten i t'atenen amb respecte i professionalisme. Em fa molta tranquil·litat venir aquí 🥰Publicado en Sofia Larrondo02/06/2025Trustindex verifica que la fuente original de la reseña sea Google. Estoy muy agradecida por el excelente trato recibido por todo el equipo. Desde la primera visita, fueron muy profesionales, atentas y amables. Me hicieron sentir cómoda y bien cuidada en todo momento. El trato humano se agradece mucho. Sin duda, la recomiendo al 100%. ¡Gracias por todo!
¿Comenzamos el cambio?
Déjanos tus datos y nos pondremos en contacto contigo
